Skip to content Skip to sidebar Skip to footer

A Disease Index Organizes Patient Data According To:

Hi 120 Introduction To Health Information Instructor Mary

Hi 120 Introduction To Health Information Instructor Mary

A disease index organizes patient data according to:. MAC Mycobacterium avium Complex Machine Safety. Inclusion in GARDs list does not serve as official recognition by the NIH. Patient harm is the 14th leading cause of the global disease burden comparable to diseases such as tuberculosis and malaria.

And statistical research on occurrence rates ages sex complications and associated conditions. ICD-9-CM and CPTHCPCS procedureservice codes 5. Health Data Collection.

Data timeliness - or data currency-date must be collected and available to the user within a reasonable amount of time and up to date. See also Genetics and Genomics. Disease indexes are used to provide cross-reference for locating health records of all patient types for the purposes of epidemiological and biomedical studies.

Aviation in Alaska Commercial. Autism and Thimerosal see Thimerosal Mercury and Vaccines. 1999 Arthritis and Rheumatism 42.

The prevalence of a rare disease usually is an estimate and may change over time. Record usually maintained by the admissions office which is organized by admission date. EXERCISE 8-1 Indexes.

Mad Cow Disease BSE see Bovine Spongiform Encephalopathy. Organized according to ICD-9-CM disease codes procedure index contains data abstracted from patient records and entered into computerized database from which index is generated. State the purpose of a disease index.

The purpose of a disease index is to organize patient cases according to ICD-9-CM disease codes so that data and records can be retrieved for study. This is a combined tool that includes the MYOSITIS DISEASE ACTIVITY ASSESSMENT VISUAL ANALOGUE SCALES MYOACT which is a series of physicians assessments of disease activity of various organ systems modified from the Vasculitis Activity Index QE Whiting-OKeefe et al.

Describing Epidemiologic Data Epidemic Intelligence Service Cdc

Describing Epidemiologic Data Epidemic Intelligence Service Cdc

The Making And Adoption Of Health Data Standards Health Affairs

The Making And Adoption Of Health Data Standards Health Affairs

Scielo Brasil Assessment And Risk Classification Protocol For Patients In Emergency Units1 Assessment And Risk Classification Protocol For Patients In Emergency Units1

Scielo Brasil Assessment And Risk Classification Protocol For Patients In Emergency Units1 Assessment And Risk Classification Protocol For Patients In Emergency Units1

Http Www Scielo Br Pdf Eins V15n4 1679 4508 Eins 15 04 0421 Pdf

Http Www Scielo Br Pdf Eins V15n4 1679 4508 Eins 15 04 0421 Pdf

Scielo Brasil Assessment And Risk Classification Protocol For Patients In Emergency Units1 Assessment And Risk Classification Protocol For Patients In Emergency Units1

Scielo Brasil Assessment And Risk Classification Protocol For Patients In Emergency Units1 Assessment And Risk Classification Protocol For Patients In Emergency Units1

Scielo Brasil Notes For The Study On Health Systems Multifaceted Analysis And Tracer Indicators Notes For The Study On Health Systems Multifaceted Analysis And Tracer Indicators

Scielo Brasil Notes For The Study On Health Systems Multifaceted Analysis And Tracer Indicators Notes For The Study On Health Systems Multifaceted Analysis And Tracer Indicators

Standards And Guidelines For The Interpretation Of Sequence Variants A Joint Consensus Recommendation Of The American College Of Medical Genetics And Genomics And The Association For Molecular Pathology Genetics In Medicine

Standards And Guidelines For The Interpretation Of Sequence Variants A Joint Consensus Recommendation Of The American College Of Medical Genetics And Genomics And The Association For Molecular Pathology Genetics In Medicine

Scielo Brasil Hospital Care For Elderly Covid 19 Patients Hospital Care For Elderly Covid 19 Patients

Scielo Brasil Hospital Care For Elderly Covid 19 Patients Hospital Care For Elderly Covid 19 Patients

Architecture Of Hospital Information Systems Springerlink

Architecture Of Hospital Information Systems Springerlink

Architecture Of Hospital Information Systems Springerlink

Architecture Of Hospital Information Systems Springerlink

Architecture Of Hospital Information Systems Springerlink

Architecture Of Hospital Information Systems Springerlink

Chptr8 Exercisereviewanswers Indexesregistershealthdatacollection Chapter 8 Indexes Registers And Health Data Collection Exercise 8 1 1 2 3 4 5 6 7 8 Course Hero

Chptr8 Exercisereviewanswers Indexesregistershealthdatacollection Chapter 8 Indexes Registers And Health Data Collection Exercise 8 1 1 2 3 4 5 6 7 8 Course Hero

Information Free Full Text Making The Case For A P2p Personal Health Record Html

Information Free Full Text Making The Case For A P2p Personal Health Record Html

What Is A Clinical Data Registry And Why Is It Important

What Is A Clinical Data Registry And Why Is It Important

Http Www Ijsrp Org Research Paper 1116 Ijsrp P5949 Pdf

Http Www Ijsrp Org Research Paper 1116 Ijsrp P5949 Pdf

Architecture Of Hospital Information Systems Springerlink

Architecture Of Hospital Information Systems Springerlink

Implementation Of Pharmaceutical Care For Older Adults In The Brazilian Public Health System A Case Study And Realistic Evaluation Bmc Health Services Research Full Text

Implementation Of Pharmaceutical Care For Older Adults In The Brazilian Public Health System A Case Study And Realistic Evaluation Bmc Health Services Research Full Text

Sustainability Free Full Text Eco Innovation Maturity Model A Framework To Support The Evolution Of Eco Innovation Integration In Companies Html

Sustainability Free Full Text Eco Innovation Maturity Model A Framework To Support The Evolution Of Eco Innovation Integration In Companies Html

Information Free Full Text Making The Case For A P2p Personal Health Record Html

Information Free Full Text Making The Case For A P2p Personal Health Record Html

Patient Centred Innovation To Ensure Access To Diabetes Care In Cambodia The Case Of Mopotsyo Journal Of Pharmaceutical Policy And Practice Full Text

Patient Centred Innovation To Ensure Access To Diabetes Care In Cambodia The Case Of Mopotsyo Journal Of Pharmaceutical Policy And Practice Full Text

The Cost Effectiveness Of Specialized Nursing Interventions For People With Parkinson S Disease The Nice Pd Study Protocol For A Randomized Controlled Clinical Trial Trials Full Text

The Cost Effectiveness Of Specialized Nursing Interventions For People With Parkinson S Disease The Nice Pd Study Protocol For A Randomized Controlled Clinical Trial Trials Full Text

Architecture Of Hospital Information Systems Springerlink

Architecture Of Hospital Information Systems Springerlink

Architecture Of Hospital Information Systems Springerlink

Architecture Of Hospital Information Systems Springerlink

Https Www Redalyc Org Jatsrepo 358 35862763016 35862763016 Pdf

Https Www Redalyc Org Jatsrepo 358 35862763016 35862763016 Pdf

Information Free Full Text Making The Case For A P2p Personal Health Record Html

Information Free Full Text Making The Case For A P2p Personal Health Record Html

2 The Science Of Human Neural Organoids Transplants And Chimeras The Emerging Field Of Human Neural Organoids Transplants And Chimeras Science Ethics And Governance The National Academies Press

2 The Science Of Human Neural Organoids Transplants And Chimeras The Emerging Field Of Human Neural Organoids Transplants And Chimeras Science Ethics And Governance The National Academies Press

Https Www Who Int Management Organize Maintenance Healthcare Pdf

Https Www Who Int Management Organize Maintenance Healthcare Pdf

Reporting And Methodological Quality Of Covid 19 Systematic Reviews Needs To Be Improved An Evidence Mapping Journal Of Clinical Epidemiology

Reporting And Methodological Quality Of Covid 19 Systematic Reviews Needs To Be Improved An Evidence Mapping Journal Of Clinical Epidemiology

Architecture Of Hospital Information Systems Springerlink

Architecture Of Hospital Information Systems Springerlink

Https Apps Who Int Iris Rest Bitstreams 1162029 Retrieve

Https Apps Who Int Iris Rest Bitstreams 1162029 Retrieve

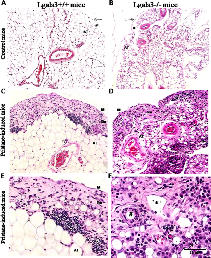
Galectin 3 Orchestrates The Histology Of Mesentery And Protects Liver During Lupus Like Syndrome Induced By Pristane Scientific Reports

Galectin 3 Orchestrates The Histology Of Mesentery And Protects Liver During Lupus Like Syndrome Induced By Pristane Scientific Reports

2020 Acc Aha Guideline For The Management Of Patients With Valvular Heart Disease The Journal Of Thoracic And Cardiovascular Surgery

2020 Acc Aha Guideline For The Management Of Patients With Valvular Heart Disease The Journal Of Thoracic And Cardiovascular Surgery

Reporting And Methodological Quality Of Covid 19 Systematic Reviews Needs To Be Improved An Evidence Mapping Journal Of Clinical Epidemiology

Reporting And Methodological Quality Of Covid 19 Systematic Reviews Needs To Be Improved An Evidence Mapping Journal Of Clinical Epidemiology

Multimorbidity States Associated With Higher Mortality Rates In Organ Dysfunction And Sepsis A Data Driven Analysis In Critical Care Critical Care Full Text

Multimorbidity States Associated With Higher Mortality Rates In Organ Dysfunction And Sepsis A Data Driven Analysis In Critical Care Critical Care Full Text

Japan Commonwealth Fund

Japan Commonwealth Fund

Http Www Who Int Patientsafety Research Methodological Guide Psp Methguid Pdf

Http Www Who Int Patientsafety Research Methodological Guide Psp Methguid Pdf

Digital Health Interventions In Palliative Care A Systematic Meta Review Npj Digital Medicine

Digital Health Interventions In Palliative Care A Systematic Meta Review Npj Digital Medicine

Common Identifiers And The Master Patient Index Mpi Working With Data Across Systems Coursera

Common Identifiers And The Master Patient Index Mpi Working With Data Across Systems Coursera

Information Free Full Text Making The Case For A P2p Personal Health Record Html

Information Free Full Text Making The Case For A P2p Personal Health Record Html

A Centralized Approach For Practicing Genomic Medicine American Academy Of Pediatrics

A Centralized Approach For Practicing Genomic Medicine American Academy Of Pediatrics

Https Www Diabetes Org Br Profissionais Images 21st Brazilian Diabetes Society Congress Pdf

Https Www Diabetes Org Br Profissionais Images 21st Brazilian Diabetes Society Congress Pdf

Https Applications Emro Who Int Docs 9789290223399 Eng Pdf Ua 1

Https Applications Emro Who Int Docs 9789290223399 Eng Pdf Ua 1

A System Dynamics Approach To The Seismic Resilience Enhancement Of Hospitals Sciencedirect

A System Dynamics Approach To The Seismic Resilience Enhancement Of Hospitals Sciencedirect

Indexes Registers And Health Data Collection Ppt Download

Indexes Registers And Health Data Collection Ppt Download

Frontiers On Cellular Networks Supporting Healthcare Remote Monitoring In Iot Scenarios Communications And Networks

Frontiers On Cellular Networks Supporting Healthcare Remote Monitoring In Iot Scenarios Communications And Networks

Circadian Rhythms In Septic Shock Patients Annals Of Intensive Care Full Text

Circadian Rhythms In Septic Shock Patients Annals Of Intensive Care Full Text

Https Www Who Int Management Organize System 20healthcare Pdf

Https Www Who Int Management Organize System 20healthcare Pdf

Https Www Redalyc Org Jatsrepo 358 35862763016 35862763016 Pdf

Https Www Redalyc Org Jatsrepo 358 35862763016 35862763016 Pdf

From Heterogeneous Healthcare Data To Disease Specific Biomarker Networks A Hierarchical Bayesian Network Approach

From Heterogeneous Healthcare Data To Disease Specific Biomarker Networks A Hierarchical Bayesian Network Approach

Used to input patient registration information which results in creation of an automated master patient index database that.

1999 Arthritis and Rheumatism 42. At-Risk see Social Vulnerability Index. Performance of Routine Assessment of Patient Index Data 3 RAPID3 for assessment of rheumatoid arthritis in clinical practice. It is estimated that there are 421 million hospitalizations in the world annually and approximately 427 million adverse. This is a combined tool that includes the MYOSITIS DISEASE ACTIVITY ASSESSMENT VISUAL ANALOGUE SCALES MYOACT which is a series of physicians assessments of disease activity of various organ systems modified from the Vasculitis Activity Index QE Whiting-OKeefe et al. Autism and Thimerosal see Thimerosal Mercury and Vaccines. Indexes Registers and. GARD maintains a list of rare diseases and related terms to help people find reliable information. Inclusion in GARDs list does not serve as official recognition by the NIH.


EXERCISE 8-1 Indexes. Inclusion in GARDs list does not serve as official recognition by the NIH. Atrial fibrillation AFib AF Attention DeficitHyperactivity Disorder see ADHD. MAC Mycobacterium avium Complex Machine Safety. Is an organized according to ICD-9-CM disease codes 2. The prevalence of a rare disease usually is an estimate and may change over time. EXERCISE 8-1 Indexes.

Post a Comment for "A Disease Index Organizes Patient Data According To:"