Skip to content Skip to sidebar Skip to footer

Echocardiography Coronary Artery Disease

Braz J Cardiovasc Surg Stress Echocardiography In Coronary Artery Disease

Braz J Cardiovasc Surg Stress Echocardiography In Coronary Artery Disease

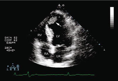
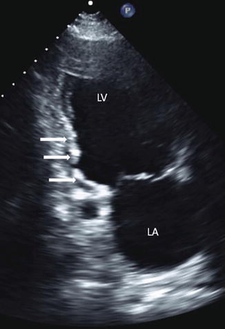
Echocardiography coronary artery disease. Stress echocardiography today has matured into a robust and reliable technique not only for the diagnosis of suspected coronary artery disease CAD but also for the accurate risk stratification of patients with suspected and established CAD. One of these approaches is the recording of abnormal wall motion. It is a tool which helps in reaching an early diagnosis of myocardial infarction showing regional wall motion abnormality of the heart.

Role of echocardiography in patients with coronary artery disease. The clinical utility of echocardiography across the spectrum of coronary artery disease has been well established by a large number of studies Table 1. Two hundred candidates with suspected stable angina pectoris and normal resting conventional echocardiography were subjected to speckle tracking echocardiography and coronary angiography.

Although dobutamine stress echocardiography DSE is a well-defined tool for the diagnosis of coronary artery disease CAD false-negative and false-positive results still occur. We aimed to characterize patients with KD with CALs detected at initial echocardiography. Lecture series Clinical Echocardiography.

Confira as ofertas para livros em inglês e importados. In Brazil according to the data of the Health Ministry it is responsible for approximately one million hospitalizations and 25 of deaths that occur annually 1. Detection of coronary artery lesions CALs at initial echocardiography can aid in diagnosing Kawasaki disease KD and inform primary adjunctive treatments.

Echocardiography is one of the most useful imaging methods due to its availability ease of use price capacity to serve as bedside. Echocardiography is a versatile imaging modality for the management of patients with chest pain and assessment of left ventricular systolic function diastolic function and even myocardial and coronary perfusion and is therefore useful in the diagnosis and triage of patients with acute chest. Coronary artery disease CAD is one of the major causes of morbidity and mortality.

The coronary artery views obtained with epicardial imaging are dependent on the position and angulation of the probe on the heart. RECENT FINDINGS The high temporal and spatial resolution of tissue Doppler and strain rate imaging permit. Coronary arterial disease CAD constitutes the main cause of morbid-mortality in the modern world.

PURPOSE OF REVIEW This review highlights recent progress in the quantitative approach to the interpretation of stress echocardiograms. The main objective of this report is to review the echocardiographic techniques used to image the coronary arteries of children when screening for anomalous origin of the coronary arteries as well as coronary involvement in the setting of Kawasaki disease.

Echocardiography In Coronary Artery Disease Sciencedirect

Echocardiography In Coronary Artery Disease Sciencedirect

Echocardiography In Coronary Artery Disease Sciencedirect

Echocardiography In Coronary Artery Disease Sciencedirect

Echocardiography In Coronary Artery Disease Sciencedirect

Echocardiography In Coronary Artery Disease Sciencedirect

Guidelines For Performance Interpretation And Application Of Stress Echocardiography In Ischemic Heart Disease From The American Society Of Echocardiography Journal Of The American Society Of Echocardiography

Guidelines For Performance Interpretation And Application Of Stress Echocardiography In Ischemic Heart Disease From The American Society Of Echocardiography Journal Of The American Society Of Echocardiography

Transthoracic Echocardiography In The Assessment Of Coronary Arteries Intechopen

Transthoracic Echocardiography In The Assessment Of Coronary Arteries Intechopen

Ischemic Heart Disease Springerlink

Ischemic Heart Disease Springerlink

Strain And Strain Rate Echocardiography And Coronary Artery Disease Circulation Cardiovascular Imaging

Strain And Strain Rate Echocardiography And Coronary Artery Disease Circulation Cardiovascular Imaging

Echocardiographic Evaluation Of Of Coronary Arteries

Echocardiographic Evaluation Of Of Coronary Arteries

Echocardiographic Evaluation Of Coronary Artery Disease Springerlink

Echocardiographic Evaluation Of Coronary Artery Disease Springerlink

Transthoracic Echocardiography In The Assessment Of Coronary Arteries Intechopen

Transthoracic Echocardiography In The Assessment Of Coronary Arteries Intechopen

Strain Echocardiography And Coronary Artery Disease University Hospitals

Strain Echocardiography And Coronary Artery Disease University Hospitals

Three Dimensional Echocardiography In Congenital Heart Disease An Expert Consensus Document From The European Association Of Cardiovascular Imaging And The American Society Of Echocardiography Journal Of The American Society Of Echocardiography

Three Dimensional Echocardiography In Congenital Heart Disease An Expert Consensus Document From The European Association Of Cardiovascular Imaging And The American Society Of Echocardiography Journal Of The American Society Of Echocardiography

Ischemic Heart Disease In Echocardiography Exam Video Medtube Net

Ischemic Heart Disease In Echocardiography Exam Video Medtube Net

Echocardiography In Coronary Artery Disease Sciencedirect

Echocardiography In Coronary Artery Disease Sciencedirect

Two Dimentioal And Doppler Echocardiographic Images From A Patient Download Scientific Diagram

Two Dimentioal And Doppler Echocardiographic Images From A Patient Download Scientific Diagram

Imaging Of All Three Coronary Arteries By Transthoracic Echocardiography An Illustrated Guide Cardiovascular Ultrasound Full Text

Imaging Of All Three Coronary Arteries By Transthoracic Echocardiography An Illustrated Guide Cardiovascular Ultrasound Full Text

Echocardiograms Green Imaging Affordable Mris Ct Scan Mammogram

Echocardiograms Green Imaging Affordable Mris Ct Scan Mammogram

Echocardiography In Coronary Artery Disease Springer Nature Outros Livros Magazine Luiza

Echocardiography In Coronary Artery Disease Springer Nature Outros Livros Magazine Luiza

Imaging Of All Three Coronary Arteries By Transthoracic Echocardiography An Illustrated Guide Cardiovascular Ultrasound Full Text

Imaging Of All Three Coronary Arteries By Transthoracic Echocardiography An Illustrated Guide Cardiovascular Ultrasound Full Text

Buy Applied Echocardiography In Coronary Artery Disease Includes Cd Rom Book Online At Low Prices In India Applied Echocardiography In Coronary Artery Disease Includes Cd Rom Reviews Ratings Amazon In

Buy Applied Echocardiography In Coronary Artery Disease Includes Cd Rom Book Online At Low Prices In India Applied Echocardiography In Coronary Artery Disease Includes Cd Rom Reviews Ratings Amazon In

Transthoracic Echocardiography In The Assessment Of Coronary Arteries Intechopen

Transthoracic Echocardiography In The Assessment Of Coronary Arteries Intechopen

Echocardiography And Detection Of Coronary Artery Disease Springerlink

Echocardiography And Detection Of Coronary Artery Disease Springerlink

Echocardiographic Evaluation Of Of Coronary Arteries

Echocardiographic Evaluation Of Of Coronary Arteries

1

1

Pdf The Role Of Echocardiography In Coronary Artery Disease And Acute Myocardial Infarction

Pdf The Role Of Echocardiography In Coronary Artery Disease And Acute Myocardial Infarction

Coronary Artery Disease Cdc Gov

Coronary Artery Disease Cdc Gov

Applied Echocardiography In Coronary Artery Disease Buy Applied Echocardiography In Coronary Artery Disease Online At Low Price In India On Snapdeal

Applied Echocardiography In Coronary Artery Disease Buy Applied Echocardiography In Coronary Artery Disease Online At Low Price In India On Snapdeal

Echocardiography In Coronary Artery Disease Sciencedirect

Echocardiography In Coronary Artery Disease Sciencedirect

Stress Echocardiography Sydney Cardiovascular Centre

Stress Echocardiography Sydney Cardiovascular Centre

Echocardiography Wikipedia

Echocardiography Wikipedia

New Guidelines For Stress Echocardiography In Ischemic Heart Disease Daic

New Guidelines For Stress Echocardiography In Ischemic Heart Disease Daic

Stress Echocardiography For The Diagnosis And Risk Stratification Of Patients With Suspected Or Known Coronary Artery Disease A Critical Appraisal Supported By The British Society Of Echocardiography Heart

Stress Echocardiography For The Diagnosis And Risk Stratification Of Patients With Suspected Or Known Coronary Artery Disease A Critical Appraisal Supported By The British Society Of Echocardiography Heart

Dobutamine Stress Echocardiography Speckle Tracking Imaging In The Assessment Of Hemodynamic Significance Of Coronary Artery Stenosis In Patients With Moderate And High Probability Of Coronary Artery Disease Semantic Scholar

Dobutamine Stress Echocardiography Speckle Tracking Imaging In The Assessment Of Hemodynamic Significance Of Coronary Artery Stenosis In Patients With Moderate And High Probability Of Coronary Artery Disease Semantic Scholar

Abnormal Echocardiogram Results

Abnormal Echocardiogram Results

The Rac Sign Retroaortic Anomalous Coronary Artery Visualization By Transthoracic Echocardiography Journal Of The American College Of Cardiology

The Rac Sign Retroaortic Anomalous Coronary Artery Visualization By Transthoracic Echocardiography Journal Of The American College Of Cardiology

Study Of Coronary Flow Reserve With Intravenous Use Of Microbubbles Contrast Echocardiography And Adenosine Protocol For Clinical Application In Patients Suspected Of Having Coronary Heart Disease

Study Of Coronary Flow Reserve With Intravenous Use Of Microbubbles Contrast Echocardiography And Adenosine Protocol For Clinical Application In Patients Suspected Of Having Coronary Heart Disease

Non Invasive Detection Of Coronary Artery Disease By Dobutamine Stress Echocardiography In Children After Heart Transplantation The Journal Of Heart And Lung Transplantation

Non Invasive Detection Of Coronary Artery Disease By Dobutamine Stress Echocardiography In Children After Heart Transplantation The Journal Of Heart And Lung Transplantation

Imaging Of All Three Coronary Arteries By Transthoracic Echocardiography An Illustrated Guide Cardiovascular Ultrasound Full Text

Imaging Of All Three Coronary Arteries By Transthoracic Echocardiography An Illustrated Guide Cardiovascular Ultrasound Full Text

Can We Shoot The Left Main At The Bed Side Dr S Venkatesan Md

Can We Shoot The Left Main At The Bed Side Dr S Venkatesan Md

Echo Assessment Of Coronary Artery Disease

Echo Assessment Of Coronary Artery Disease

Coronary Artery Disease Diagnosis

Coronary Artery Disease Diagnosis

Echocardiography In Coronary Artery Disease Sciencedirect

Echocardiography In Coronary Artery Disease Sciencedirect

Echocardiography In Coronary Artery Disease Livro De Saude Extra 15683048

Echocardiography In Coronary Artery Disease Livro De Saude Extra 15683048

Recent Updates On Echocardiography And Ultrasound For Kawasaki Disease Beyond The Coronary Artery Noto Cardiovascular Diagnosis And Therapy

Recent Updates On Echocardiography And Ultrasound For Kawasaki Disease Beyond The Coronary Artery Noto Cardiovascular Diagnosis And Therapy

Validate User Coronary Arteries Echocardiogram Coronary Circulation

Validate User Coronary Arteries Echocardiogram Coronary Circulation

Echocardiographic Evaluation Of Coronary Artery Disease Springerlink

Echocardiographic Evaluation Of Coronary Artery Disease Springerlink

Validation Of The Echocardiographic Assessment Of Epicardial Adipose Tissue Thickness At The Rindfleisch Fold For The Prediction Of Coronary Artery Disease Nutrition Metabolism And Cardiovascular Diseases

Validation Of The Echocardiographic Assessment Of Epicardial Adipose Tissue Thickness At The Rindfleisch Fold For The Prediction Of Coronary Artery Disease Nutrition Metabolism And Cardiovascular Diseases

Pdf Echocardiography In Kawasaki Disease

Pdf Echocardiography In Kawasaki Disease

Https Encrypted Tbn0 Gstatic Com Images Q Tbn And9gcra4ejfmjcphnmlqvy0x1ijyybg3fvnwxtgkswmnstm9dgrotca Usqp Cau

Https Encrypted Tbn0 Gstatic Com Images Q Tbn And9gcra4ejfmjcphnmlqvy0x1ijyybg3fvnwxtgkswmnstm9dgrotca Usqp Cau

Coronary artery disease CAD is one of the major causes of morbidity and mortality.

Echocardiography is a versatile imaging modality for the management of patients with chest pain and assessment of left ventricular systolic function diastolic function and even myocardial and coronary perfusion and is therefore useful in the diagnosis and triage of patients with acute chest. Lecture series Clinical Echocardiography. Echocardiography is the initial modality employed in the assessment of proximal coronary arteries in children Video 1. Detection of coronary artery lesions CALs at initial echocardiography can aid in diagnosing Kawasaki disease KD and inform primary adjunctive treatments. Coronary arterial disease CAD constitutes the main cause of morbid-mortality in the modern world. This study investigated the diagnostic role of layer-specific analysis using 2-dimensional speckle-tracking echocardiography STE during DSE. 1 However echo images may be sub-optimal in older patients with high body mass indices. Echocardiography in Coronary Artery Disease inproceedingsGlobits2000EchocardiographyIC titleEchocardiography in Coronary Artery Disease authorS. Coronary artery lesions prevalence at initial echocardiography consistently increased after the fifth day of illness and was higher in patients with Kawasaki disease aged 0 to 5 months and 60 months compared with those at intermediate months of age describing a Ushape trend.


The coronary artery views obtained with epicardial imaging are dependent on the position and angulation of the probe on the heart. The clinical utility of echocardiography across the spectrum of coronary artery disease has been well established by a large number of studies Table 1. Confira as ofertas para livros em inglês e importados. Coronary artery disease CAD is one of the major causes of morbidity and mortality. 1 However echo images may be sub-optimal in older patients with high body mass indices. Role of echocardiography in patients with coronary artery disease. In Brazil according to the data of the Health Ministry it is responsible for approximately one million hospitalizations and 25 of deaths that occur annually 1.

Post a Comment for "Echocardiography Coronary Artery Disease"